รีวิว Sparkle Whitening Kit D.I.Y. Dental กับการครอบฟันขาวใน 7 วัน




กิจกรรม แจก แจก แจก !!!! 

เพียงอ่านรีวิวแล้วคอมเม้นท์ด้านล่างรีวิวนี้ว่า ทำไมจึงอยากได้ Sparkle Whitening Kit D.I.Y. Dental ไปลองใช้

  Sparkle Whitening Kit D.I.Y. Dental  จำนวน 15 กล่อง กล่องละ 550 บาท 

ผู้โชคดี 15 ท่านที่เขียนโดนใจเรา จะได้รับคนละกล่องส่งไปให้ที่บ้านกันเลยค่ะ

ระยะเวลากิจกรรม วันนี้ -  31 กรกฎาคม 2557

ประกาศผล ภายในวันที่ 5 สิงหาคม

ผู้โชคดีจะได้รับการติดต่อกลับทางเฟสบุ้คค่ะ

ประกาศรายชื่อผู้โชคดีค่ะ
1. Faridah Dedaa
2. NamPeung Lovemom 
3. Noon Wararaksapong 
4. Bluelabel Namngoen
5. Duangkamon Kamonlasin 
6. กุ๊ก กิ๊ก
7. Chonthicha Panyadee
8. Prapasri Bangkrathades
9. Chonnikarn Intasoon
10. Kwang Jenjira Gulpanich
11. J'st Sometime
12. Noon Narin
13. Smile Smile'z
14. Pea Pe
15. Premyuda Kijsuthinan

รบกวนทุกท่านส่งชื่อที่อยู่ในการจัดส่งเข้ามาที่ https://www.facebook.com/messages/pooyingnaka ด้วยนะคะ


สวัสดีค่าาาาาาา วันนี้มีสิ่งดีๆมานำเสนอค่ะ โดยเฉพาะคนที่อยากจะดูแลช่องปาก ดูแลฟัน เทรนด์ฟันขาวกำลังอินเลยค่ะ แต่การจะไปหาหมอฟันยังคงเป็นปัญหาสำหรับหลายๆคนอยู่ รวมถึงนกด้วยค่ะ ฮ่าาาาา แต่ไม่ต้องกังวลแล้ว เดี๋ยวนี้มีชุดอุปกรณ์ที่ช่วยให้ฟันเราขาวขึ้นได้ และเราก็ทำเองได้ด้วย เก๋ตรงนี้ล่ะค่ะ Sparkle Whitening Kit เค้าเป็น D.I.Y. Dental Whitening & Cleaning เราสามารถทำให้ฟันเราขาวขึ้นได้เองและช่วยให้ฟันเราสะอาดขึ้นด้วยค่ะ

กล่องเค้ามาแบบแบบนี้เลยนะคะ จะวางขายอยู่ชั้นที่วางขายยาสีฟันค่ะ



ในกล่องจะมียาสีฟัน 1 หลอด ขนาด 30 กรัม กล่องพร้อมที่ครอบฟันเป็นยางซิลิโคน และแถบวัดระดับสีฟันค่ะ แต่ในกล่องและที่ตัวกล่องเองก็จะมีบอกว่าธีการใช้นะคะ



รายละเอียดทุกอย่าง มีอยู่ที่กล่องหมดเลยค่ะ แต่น่าสนใจตรงที่ มีการทดสอบผู้ชาย-ผู้หญิง เอเชีย อายุ 20-40 ปี จำนวน 20 คน และผลก็คือ 91% ฟันขาวขึ้นจริง และ 99 % บอกว่า อ่อนโยน ไม่แพ้



วิธีทำ
1. แปรงฟันให้สะอาด บ้วนปาก และเช็ดฟันให้แห้งค่ะ 
2. บีบยาสีฟันลงบนที่ครอบฟัน เค้าจะมีช่องไว้อยู่ค่ะ เค้าให้บีบ 1/3 นะคะ
3. ครอบฟันไว้ 20 นาที
4. เมื่อครบ 20 นาทีแล้วให้บ้วนปากค่ะ



ยาสีฟันสีขาว ค่อนข้างข้นค่ะ อาจจะบีบออกจากหลอดยากหน่อยนะคะ แต่เค้าไม่แข็งติดปลายหลอด เราสามารถใช้สำหรับครอบฟันหรือใช้แปรงฟันก็ได้ค่ะ แต่นกใช้ครอบฟัน เพราะจะเห็นผลดีกว่า แต่ถ้าใช้ควบคู่กันน่าจะเห็นผลเร็วมากขึ้นนะคะ

..............................................................................

วันที่ 1



ก่อนใช้เค้าบอกให้วัดสีฟันไว้ทุกครั้งค่ะ บางทีนกก็ลืมนะ แต่ก็พอจะกะได้ สำหรับนกแล้ววันแรกที่วัดจะอยู่ที่ A3 ค่ะ คือไม่เหลืองมาก แต่ก็ค่อนไปทางเหลือง



วันแรกเนี่ยพอสวมเข้าไปปั๊บ อั๊ยยะ ไม่คุ้น รู้สึกว่าที่ครอบฟันใหญ่มากๆ ระยะเวลา 20 นาที เราไม่สามารถพูดได้ คือความไม่คุ้นที่ 2 ฮ่าาาา กลิ่นเค้าจะอ่อนมากๆค่ะ รสชาติก็ยาสีฟันแต่ว่าไม่รุนแรง แทบไม่รู้สึกอะไรเท่าไรค่ะ วันแรกนกบอกเลยว่ามันไม่คุ้นจริงๆ พอ 10 นาทีหลังเนี่ย น้ำลายเริ่มเยอะค่ะ อาจจะเพราะพยายามคุยด้วยแหละ พอครอบครบ 20 นาที ก็รีบไปล้างออกเลยค่ะ ไม่ใช่ว่าแสบหรือเสียวฟันอะไรนะคะ อยากพูดค่ะ ฮ่าาาา



ทำเสร็จแล้วมาวัดฟันดูอีกรอบค่ะ



จบวันแรกไป ยังไม่เห็นผลเรื่องฟันที่ขาวขึ้นนะคะ แต่รู้สึกว่าฟันลื่นสะอาดขึ้นค่ะ 

..............................................................................

วันที่ 2



วันที่สอง วัดสีฟันเอาไว้ในตอนเช้าค่ะ 



มาครอบฟันตอนเย็นหลังจากกลับจากธุระค่ะ วันที่สองนี่เริ่มรู้ละว่าเราควรอยู่นิ่งๆ ช่วงครอบฟันก็เลยไปเอาไอแพดมานั่งดูซีรีส์ เพลินๆค่ะ 20 นาทีผ่านไปเร็วมากๆ และน้ำลายไม่เยอะเหมือนวันแรกด้วยค่ะ





วันที่สองเริ่มสังเกตเห็นแล้วว่าฟันเริ่มเหลืองน้อยลงค่ะ จากภาพอาจจะไม่ชัดเจนนะคะ แต่ความรู้สึกและมองจากสายตาตัวเอง และคนรอบข้างก็บอกว่า เอ๊ะ ใช่สีฟันดีขึ้นจริงๆแต่อาจจะเล็กน้อยเท่านั้นค่ะ

..............................................................................

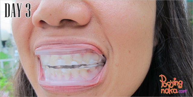
วันที่ 3



วันที่ 3 แล้วค่ะ นกไม่ได้ติ๊กเอาไว้ว่าแต่ละวัน เปลี่ยนระดับสีฟันไปขนาดไหน เพราะบางทีก็อยู่ช่วงก้ำกึ่งค่ะ อาศัยความรู้สึกและวัดจากสายตาตัวเองเอาค่ะ



ภาพอาจจะไม่น่าดูนะคะ เพราะฉะนั้นเวลาทำ ก็เลือกช่วงเวลาให้ดีค่ะ เป็นไปได้ก็ตอนก่อนนอนค่ะ หลังจากแปรงฟันเสร็จ ครอบฟันไว้ 20 นาที อ่านหนังสือ ดูหนังไปเพลินๆค่ะ ครอบช่วงแรกๆเหมือนยาสีฟันจะไม่ทั่วแต่รอสักพักก็จะทั่วฟันนะคะ





เริ่มเห็นชัดขึ้นแล้วค่ะ เพียง 3 วันเท่านั้น กรี๊ดดดดดด Sparkle Whitening Kit เค้าได้ผลจริงๆค่ะ สิ่งที่รู้สึกคือคราบเหลืองๆเริ่มหายไป หินปูนเริ่มหลุดออกค่ะ ปลื้มมาก เริ่มรู้สึกว่าเราจะยิ้มอวดฟันได้แล้ว 

..............................................................................

วันที่ 4



วันที่ 4 ค่ะ เริ่มชิลล์กับการครอบฟันแล้วค่ะ ไม่รู้สึกว่าเหนื่อยหรืออะไร และพอเริ่มเห็นผลเริ่มมีกำลังใจและอยากทำจนครบ 7 วัน เพื่อเห็นผลลัพธ์จริงๆของเค้า (อยากฟันขาวอ่ะ)



ครอบจริง ทำจริงนะคะ แม้ภาพจะไม่น่าดู แต่เพราะผลลัพธ์ที่ได้ นกเลยเต็มใจที่จะทำ อิอิ 20 นาทีชิลล์มากกกกก



และเพราะเราจะอยู่ท่านี้ 20 นาที เหมือนกับการบริหารกล้ามเนื้อบนใบหน้าค่ะ วันละ 20 นาทีนี่ เล่นเอาหน้ากระชับเลยนะเอ้าาาา จริงนะคะ ความเรียวของใบหน้ามันมาจากท่านี้เอง



วันที่ 4 นี้นกเริ่มคิดได้ว่า ช่วงนี้ดื่มกาแฟ เช้าและบางทีมีรอบบ่ายด้วย ถ้างดได้น่าจะเห็นผลมากกว่านี้แน่ๆเลยอ่ะ แต่ทำไม่ได้ค่ะ ติดกาแฟมาก ไม่ดื่มไม่มีแรงทำงาน แต่ว่าฟันเริ่มขาวขึ้น คนข้างๆเริ่มทักแบบ เห็นชัดแล้วนะ ฟันเริ่มเป็นสีของฟันค่ะ

..............................................................................

วันที่ 5



วันที่ 5 แล้ว น่าจะเป็นระดับ C1 แล้วนะคะ



เอ่อออ หน้าดูเหนื่อยมาก เพราะไปเล่นสงกรานต์มา กลับมาก็มาครอบฟันเลยค่ะ เพราะจะได้นั่งพักดูซีรีส์ 20 นาที อิอิ



วันที่ 5 สีฟันจะขาวขึ้น เหลืองน้อยลงเห็นชัดขึ้นมากๆค่ะ สีเริ่มสม่ำเสมอกันด้วย



ภาพนี้สีค่อนข้างใกล้เคียงจากสายตานะคะ พอคราบหินปูนเริ่มไม่มี จะเห็นสีฟันชัดเจนมากค่ะ ฟันจะเงาๆอย่างนี้ตลอดค่ะ



ภาพ before กับ after อาจจะไม่ชัดมากนะคะ เพราะสีภาพก็เพี้ยนหน่อยๆค่ะ แต่อย่างที่บอกมาตั้งแต่ต้นๆว่านกวัดจากระดับสายตาตัวเองด้วยค่ะ

..............................................................................

วันที่ 6



วันที่ 6 ทำก่อนนอนค่ะ แสงไม่ค่อยจะมีนะคะ ไม่ได้ถ่ายวัดระดับสีฟันไว้ อร๊าาาย ลืมๆ



บอกแล้วท่านี้วันละ 20 นาที หน้าเรียว อิอิ



แม้แสงไม่ค่อยจะได้ แต่เห็นว่าฟันดูสะอาด คราบไม่ค่อยจะมี คราบเหลืองๆที่โคนฟันไม่ค่อยเห็นแล้วค่ะ

..............................................................................

วันที่ 7


วันที่ 7 แล้วค่ะ ขอบคุณที่ติดตามอ่านและดูภาพฟันมาตั้งแต่ต้นนะคะ รู้ว่าไม่ได้น่าดู แต่เพราะอยากให้เห็นว่าทำแล้วได้ผลอย่างไรค่ะ



วันหลังๆจะไม่ค่อยมีเรื่องน้ำลายเต็มปากนะคะ เพราะจะไม่คุย ใบ้ๆเอาค่ะ แล้วก็กะปริมาณการใช้ได้แล้ว ถ้าเยอะเกินไปจะล้นออกมาทำให้น้ำลายเราเยอะค่ะ พอชินก็รู้ว่าต้องทำยังไงบ้าง



ครบ 7 วัน วัดระดับฟันอยู่ที่ A2 หรืออาจจะ B2 เลยค่ะ ฟันเหลืองน้อยลงจริงๆ จนเริ่มจะขาวแล้วด้วยค่ะ



นอกจากฟันด้านหน้าแล้ว นกสังเกตฟันด้านในที่มีคราบหินปูนเกาะอยู่ หินปูนเริ่มไม่เห็นเท่าไรแล้วค่ะ เหลือที่โคนฟันที่ยังพอมีอยู่ มาถึงตรงนี้นกว่าคุ้มมากกับวันละ 20 นาที ที่ทำให้ฟันเราขาวขึ้น สะอาดขึ้น ความรู้สึกมันดีค่ะ



7 วันของการครอบฟันค่ะ สีภาพอาจจะบอกได้ไม่ชัดเจน แต่ความรู้สึกจริงๆ สายตาจริงๆบอกได้ชัดเจนว่า ฟันขาวขึ้นจริง ใช้เวลาวันละ 20 นาทีเท่านั้นค่ะ



ผลการใช้แต่ละคนอาจจะแตกต่างกันไป แต่สำหรับคนที่ฟันไม่ได้เหลืองมาก แล้วฟันขาวขึ้นมาขนาดนี้ เป็นที่น่าพอใจมากๆค่ะ

เป็นอีกผลิตภัณฑ์ที่น่าซื้อมาลองใช้มากค่ะ ตอนนี้แฟนนกกำลังจะซื้อมาใช้เหมือนกันค่ะ เพราะเค้าบอกว่าเห็นจากฟันนกแล้วสนใจอยากทำบ้าง 

นกว่าการที่เรามีฟันที่ขาวช่วยเพิ่มความมั่นใจให้เราได้มากๆ จะพูดคุย ถ่ายรูป ก็ทำได้อย่างเปิดเผยค่ะ นกคิดถึงคนที่กำลังจะแต่งงานหรือรับปริญญา ที่ต้องยิ้ม ถ้าลองใช้นกว่าจะทำให้วันนั้นเรามั่นใจมากขึ้นนะคะ แต่จริงๆนกว่าทุกๆคนที่อยากมีฟันที่ขาวควรลองค่ะ

สุดท้ายต้องขอบคุณ Sparkle Whitening Kit ที่ทำให้นกได้รู้ว่าฟันเราขาวขึ้นได้ด้วยตัวเองที่บ้าน ^^

🎁 สินค้าแนะนำ: เลือกซื้อจากบทความนี้






แสดงความคิดเห็น






ยังไม่มีความคิดเห็น